How To Treat Periodontitis Disease?
We have found from studies that almost 47.2% of adults aged 30 years and more than that are suffering from Periodontitis Symptoms. Not many people are aware of periodontitis disease which makes them avoid their initial signs of this gum disease. In this article, we have mentioned several facts about periodontitis that a person should know about. If you are suffering from periodontitis then do make sure of reading this entire article till the very end.
What do you mean by periodontitis disease?
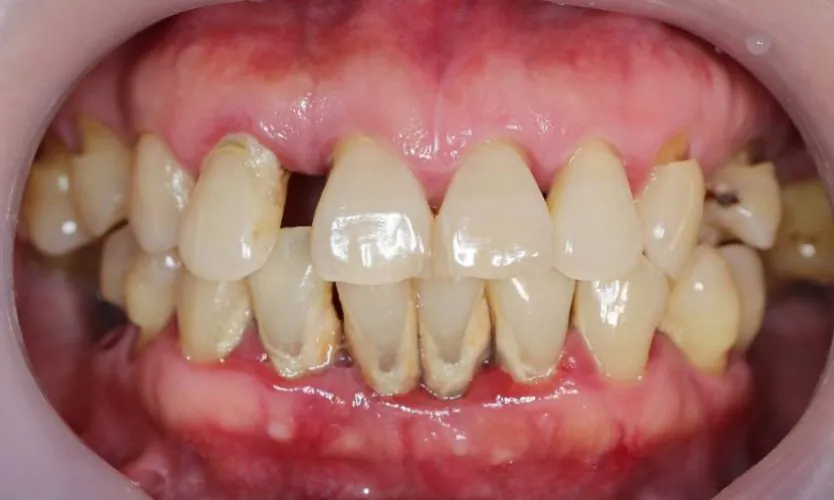
Periodontitis near me is a gum disease in which your gum starts to inflame while causing some severe symptoms including redness, bleeding, or swollen gums. A person should not avoid periodontitis and get Periodontal Disease Treatment for avoiding complications such as tooth loss and tooth decay.
What are the factors that increase the chance of periodontitis disease?
We have mentioned some factors that may increase the risk of having periodontitis disease which a person should know to avoid gum disease. Here are some causes mentioned with the help of Emergency Dentist Houston:
- Poor oral hygiene and habits
- Smoking or consumption of tobacco
- Hormonal changes, such as pregnancy or menopause
- Obesity
- Deficiency in nutrition such as vitamin C deficiency
- Heredity
- Dry mouth
- Diabetes and arthritis
What are the symptoms of periodontitis disease?
Here are some symptoms of periodontitis or gum disease that may require immediate Gum Disease Treatment:
- Inflammation in gums
- Swollen gums
- Redness in gums
- Receding gums,
- Missing teeth or gaps in teeth
- Tooth abscess
- Bleeding gums while brushing teeth or flossing
- Bad breath
- Loose teeth
How is periodontitis treated?
We have mentioned some effective Periodontitis Treatment below that can restore the ability of tooth after treatment:
● Scaling and Root Planing:
This treatment involves deep dental cleaning which offers removal of plaque and tartar from your gums with the help of a hand scaler and ultrasonic instruments by your dentist.
● Gum Grafting:
In this treatment, your dentist removes healthy gums tissue from one area of your mouth and places it where it’s needed with the help of lab-processed donor tissues. This is the most common treatment among patients when it comes to periodontitis disease.
● Periodontal Laser Treatment:
In this treatment, the dentist removes infected gum tissue with the help of a laser which won’t cause pain, discomfort, and major gum shrinkage.
● Dental Implants:
Dental implants are one of the most preferred treatments for curing gum disease by replacing the roots of the tooth with a plate of titanium by inserting it into the jawbone through the gum line.
● Crown Surgery:
In this treatment, your dentist will remove and offer an artificial cron to your gum and bone tissue with the help of cosmetic tooth surgery.
Takeaway
We hope you liked this article and it was a help for you in knowing about the periodontitis treatment. If you are looking for Gingivitis Treatment then make sure to visit the Emergency Dentist Near Me by visiting our website which may help you in fighting gum disease.
